|
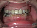
Full Mouth Reconstruction is the optimal choice when several teeth
are decayed or missing, affecting the occlusion (the way the teeth
come together) and/or the appearance of the face. Full Mouth Reconstruction
may involve bridges, veneers, and/or crowns. Most of the existing
teeth require treatment in order to correct and restore balance
to the occlusion (bite) and facial features.
| Notice how the reconstruction affects
not only the occlusion (the way her teeth fit together), but
also the way her smile is expressed throughout her lower face! |
|
|
|
|
Before
|
After
|
|
|
|
|
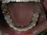
| Here's a close-up look at her upper arch (top
teeth) and lower arch (bottom teeth): |
|
|
|
|
Before
|
After
|
|
|
|
|